Frank è un gigante buono, un biondissimo Golden Retriever di 6 anni che ci è stato portato in visita per la presenza di due noduli cutanei nella regione della nuca. Una volta analizzati, sono risultati essere due mastocitomi.
Il mastocitoma è una neoplasia cutanea composta da mastociti: si può presentare sotto forma di nodulo singolo o noduli multipli, può presentarsi con diverse dimensioni (da pochi centimetri a vere e proprie masse pendule) le quali addirittura possono variare nel corso del tempo (aumentando o diminuendo di volume), il mastocitoma può essere rilevato, non dolente e a volte ulcerato. Il mastocitoma può presentarsi sia nel cane che nel gatto e può localizzarsi in qualsiasi distretto corporeo: nuca, zampe, bocca, genitali, muso, ecc … Si tratta di un tumore cutaneo da non sottovalutare.
COME SI DIAGNOSTICA?
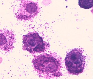
Il mastocitoma si diagnostica tramite esame citologico della lesione: un ago sterile sottile viene inserito all’interno del nodulo e mosso avanti e indietro facendolo ruotare tra pollice e indice. In questo modo le cellule della massa risalgono all’interno dell’ago. Una volta effettuato il campionamento, l’ago viene connesso ad una siringa piena di aria, l’aria viene spinta all’interno dell’ago e il materiale è spinto e raccolto su un vetrino, il quale verrà poi colorato e osservato al microscopio. I mastociti si riconoscono per la presenza di abbondanti granuli viola all’interno del citoplasma delle cellule, questi granuli possono essere talmente fitti da coprire il nucleo della cellula stessa (vedi foto).

COME SI PROSEGUE?
Una volta diagnosticato il mastocitoma si deve eseguire la stadiazione. La stadiazione consiste nello studio dell’invasività e della diffusione della neoplasia. In parole semplici, si deve capire se il tumore si è già diffuso a livello organico (fegato, milza, midollo osseo) e se ha già interessato i linfonodi, in particolar modo il linfonodo regionale, quello deputato alla raccolta del liquido linfatico di quella regione corporea, nel nostro caso la regione del collo, inoltre si deve classificare il tipo di mastocitoma presente ricorrendo all’istologia (cutaneo, sottocutaneo, basso o alto grado ecc…).
Frank viene quindi posto in anestesia e viene eseguita una ecografia addominale: durante l’ecografia sono stati visualizzati fegato e milza e, come spiegato precedentemente, è stato eseguito un esame citologico ecoguidato di tali organi.
Il linfonodo regionale, ovvero il linfonodo che drena la linfa di quella determinata regione corporea, viene ricercato tramite l’inoculo perilesionale di una sostanza visibile all’esame radiografico (radiopaco). Dopo aver iniettato il mezzo di contrasto, sono state eseguite delle radiografie dopo 3, 6, 9 e 12 minuti: da queste è stato possibile osservare diversi “percorsi” del mezzo di contrasto che si portavano verso il linfonodo prescapolare.
E’ tutto pronto per la chirurgia, ma prima è necessario un ulteriore accertamento: si inietta ai 4 punti cardinali di entrambi i noduli 0,1 ml per sede di blu di toluidina sterile, il colorante verrà drenato verso il linfonodo e lo colorerà di blu, in questo modo si avrà un’ulteriore conferma che si tratti del linfonodo regionale o linfonodo sentinella, e inoltre sarà più facilmente visibile durante la chirurgia.
Quando ci si approccia chirurgicamente a un mastocitoma, bisogna eseguire una chirurgia ad ampi margini, procedendo in profondità fino al primo piano muscolare, il quale viene sempre tolto. In questo modo si ha la certezza di aver rimosso tutta la neoformazione con margini puliti da cellule neoplastiche. Il linfonodo posto davanti alla scapola destra (prescapolare destro) è stato rimosso anch’esso. I noduli e il linfonodo sono stati posti in un fissativo e portati al collega anatomopatologo per l’analisi istologica e l’analisi dei margini chirurgici.
L’esito è stato ottimo: l’esame citologico di fegato e milza è risultato negativo per la presenza di metastasi ed entrambi i mastocitomi, classificati come cutanei a basso grado, sono stati rimossi in toto con margini chirurgici ampi e puliti. Il linfonodo è stato classificato come NH1 premetastatico, ovvero sono stati trovati sì dei mastociti all’interno, ma non in numero tale da richiedere la chemioterapia. Nel linfonodo è stato trovato inoltre il colorante che era stato iniettato prima della chirurgia, a conferma che quella zona del corpo era drenata da quel determinato linfonodo.
Frank resta un paziente oncologico da tenere monitorato nel lungo periodo, ma per adesso, può godersi queste giornate insieme alla sua famiglia.



Lascia un commento