Cos’è un soffio cardiaco, quali esami devono essere eseguiti durante un percorso di approfondimento cardiologico e perché è importante effettuarlo?
Il soffio cardiaco è un “suono anomalo aggiuntivo” che si rileva durante l’auscultazione del torace in corrispondenza dell’area di proiezione del cuore durante la visita medica. Questo è dovuto ad un’alterazione del normale flusso del sangue all’interno del cuore.
Nel cuore sono presenti 4 valvole: la valvola mitrale a sinistra, separa l’atrio sinistro dal ventricolo sinistro, la valvola tricuspide a destra, separa l’atrio destro dal ventricolo destro, la valvola aortica e la valvola polmonare che permettono il giusto percorso del sangue, rispettivamente dal cuore al polmone e poi dal polmone al cuore.

Tutte queste valvole possono andare incontro ad alterazioni congenite, legate alla razza (cani: Boxer, Alani, Dobermann… gatti: Maine Coon, Ragdoll, Persiano…) o acquisite, dovute a malattie sistemiche o alla vecchiaia. Esistono poi diverse malattie che possono causare la presenza di un soffio cardiaco (PDA, alterazioni del setto cardiaco, ecc..), di conseguenza anche animali giovanissimi possono presentare un soffio durante l’auscultazione del torace.
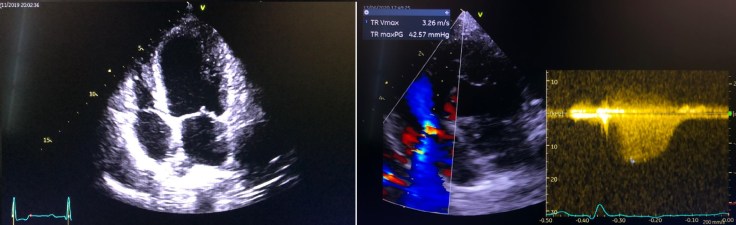
Per tale motivo l’esame idoneo a capirne l’origine è l’esame ecocardiografico. È un esame di durata variabile tra i 40 ed i 60 minuti, che solitamente si effettua sul cane sveglio, sdraiato su un apposito tavolino e permette di valutare il flusso sanguigno e i tessuti del cuore. A questo esame, su indicazione del Medico Veterinario che esegue la visita di approfondimento cardiologico, fa seguito un esame elettrocardiografico (comunemente chiamato ECG), per valutare la funzionalità elettrica del muscolo cardiaco e la presenza di eventuali aritmie concomitanti.


Molti problemi cardiaci hanno la loro maggiore ripercussione a livello polmonare e possono determinare conseguenze molto gravi quali, ad esempio, edema polmonare e/o tromboembolismo polmonare, con esito spesso fatale per il paziente. Per questo motivo si affianca ai precedenti esami anche uno studio radiografico del torace per valutare lo stato di salute dei polmoni.

Il cuore e i reni sono organi strettamente interconnessi. Una disfunzione dell’uno spesso può compromettere la funzionalità dell’altro. Per tale motivo, specialmente nel corso di una terapia cardiologica, è indicato un esame del sangue (esame ematobiochimico) per la valutazione della funzionalità renale e gli elettroliti.
La durata complessiva del percorso è di 1 h / 1 h e 30 min. circa (salvo imprevisti) e, riassumendo, prevede le seguenti fasi:
A. Visita specialistica
B. Esame ecocardiografico
C. Esame elettrocardiografico (ECG) (se necessario)
D. Studio radiografico del torace
E. Esame ematobiochimico per funzionalità renale ed elettroliti (se necessario)
L’inizio della terapia cardiologica dipende dall’esito dell’esame ecocardiografico e dallo stato clinico del paziente. Un paziente cardiopatico in terapia necessita di cure continue per tutta la vita e monitoraggi seriali a distanza di 4 – 6 mesi a seconda della gravità della patologia. E’ un percorso che dura tutta la vita dell’animale, ma noi sapremo accompagnarvi al meglio per garantire il benessere del vostro amico a 4 zampe.
Per qualsiasi domanda/informazione restiamo a vostra disposizione.
Dott. Nazzareno Giuseppe Pelle
Clinica veterinaria Bevilacqua
Lascia un commento